Почему у людей с тёмной кожей светлые ладони: учёные нашли белок-виновник
У людей с тёмной кожей ладони и ступни всегда заметно светлее остального тела. Этот контраст сразу бросается в глаза, но точного объяснения почти никто не слышал. На самом деле биологи закрыли вопрос ещё в 2004 году. Они нашли белок, который буквально выключает выработку пигмента именно на ладонях и подошвах. Механизм одинаково работает у всех людей на планете — просто у светлокожих разница почти незаметна.

Меланин: главный пигмент кожи
Цвет кожи определяет меланин. Его производят особые клетки — меланоциты. Они находятся в самом глубоком слое эпидермиса и есть у каждого человека независимо от оттенка кожи. Количество меланоцитов у всех примерно одинаковое. Разница лишь в том, сколько пигмента эти клетки вырабатывают.
Меланин бывает двух основных типов. Эумеланин даёт коричневый и чёрный оттенок — его больше у людей с тёмной кожей. Феомеланин отвечает за жёлтые и красноватые тона и преобладает у светлокожих и рыжих.

Главная задача меланина — защита от ультрафиолета. Пигмент поглощает вредные лучи и оберегает ядра клеток от повреждений. Чем активнее меланоциты, тем темнее кожа и тем лучше она справляется с солнцем.

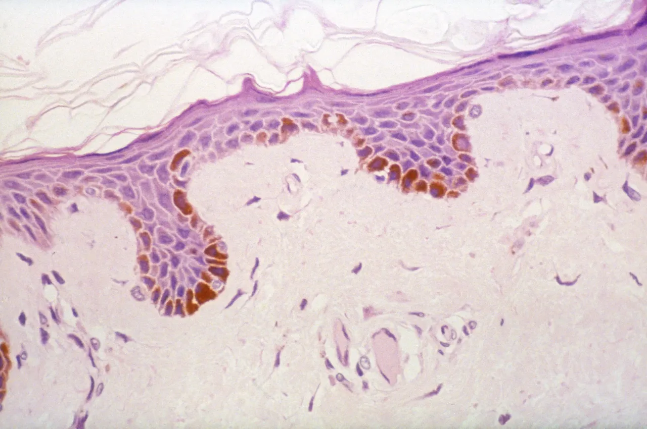
Меланоциты не держат пигмент при себе. Они упаковывают его в крошечные пузырьки — меланосомы — и передают соседним клеткам кожи, кератиноцитам. Один меланоцит обслуживает от тридцати до сорока кератиноцитов. Учёные называют такое сообщество эпидермальной меланиновой единицей.
Кожа на ладонях и подошвах устроена совсем иначе, чем на всём остальном теле. Она значительно толще и выполняет в первую очередь механическую работу.
Почему кожа на ладонях и подошвах особенная
Кожу ладоней и подошв называют пальмоплантарной. Она в несколько раз толще обычной кожи, в ней нет волос и сальных желёз, зато много потовых желёз и чувствительных рецепторов. Благодаря этому ладони и ступни очень хорошо чувствуют прикосновения.

Меланоциты на ладонях присутствуют, но их концентрация в пять раз ниже, чем на других участках тела. Даже те клетки, что есть, работают намного слабее. Это открытие сделали в 2004 году исследователи из Национального института онкологии США и Университета Осаки.
Кожа ладоней и подошв выполняет важную механическую функцию, поэтому эволюция сделала её толще и прочнее, чем кожу на других частях тела.
Белок DKK1 — выключатель пигмента
В 2004 году учёные нашли точную причину. Фибробласты — клетки соединительной ткани под кожей ладоней и подошв — вырабатывают белок DKK1. В переводе с немецкого его название означает примерно «толстоголовый» или «упрямец». Этот белок действительно упрямо блокирует пигментацию.

DKK1 подавляет сигнальный путь Wnt/β-катенин, который необходим меланоцитам для активной работы. В результате меланоциты на ладонях и подошвах есть, но почти не производят меланин. Уровень DKK1 здесь физиологически выше, чем на любом другом участке тела. Это нормальный механизм для всех людей.
Этот механизм работает у всех людей без исключения, независимо от цвета кожи.
Зачем эволюции понадобился такой выключатель
Меланин защищает кожу от солнца. Однако ладони и подошвы почти никогда не получают прямых солнечных лучей. При прямохождении ступни смотрят вниз, а ладони во время работы чаще всего обращены к земле или к предметам. УФ-нагрузка на эти зоны минимальна.

Зато кожа здесь справляется с нагрузкой иначе — за счёт большой толщины и плотного рогового слоя. Он защищает от механических повреждений и частично рассеивает ультрафиолет. Производить много меланина в таких условиях организму просто невыгодно. Эволюция предпочла сделать эти участки прочными и чувствительными, а не тёмными.
Светлые ладони — универсальная норма
Светлые ладони и подошвы есть не только у людей с тёмной кожей. Это обычная анатомическая особенность, которая работает у всех. У светлокожих людей разница просто менее заметна.

Если светлокожий человек сильно загорает, ладони всё равно остаются светлее предплечий и плеч. Контраст меньше, но механизм тот же самый. У новорождённых всех рас кожа при рождении тоже светлее — активная выработка меланина начинается уже после появления на свет.
Этот механизм работает одинаково у всех рас и национальностей. Разница только в том, насколько сильно заметен контраст.
Акральная меланома: важное медицинское следствие
У этой особенности есть серьёзная оборотная сторона. Меланоциты на ладонях и подошвах хотя и малоактивны, но всё же существуют. Они могут мутировать и давать начало особому виду рака — акральной лентигинозной меланоме.

Эта меланома не связана с ультрафиолетом. Она появляется на ладонях, подошвах и под ногтями и встречается у людей всех рас примерно с одинаковой частотой. У темнокожих людей она составляет большинство всех случаев меланомы, потому что солнечные формы рака у них возникают редко.

Боб Марли умер в 1981 году в возрасте 36 лет именно от этой болезни. Тёмное пятно под ногтем большого пальца ноги он долго принимал за обычную травму от футбольного мяча.

Светлые ладони и ступни — результат работы белка DKK1, который подавляет выработку меланина там, где солнечная защита почти не нужна. Эволюция сделала кожу этих участков толстой, прочной и чувствительной, а пигмент здесь оказался лишним. Механизм универсален для всего человечества.
А вы раньше замечали, что ваши ладони светлее тыльной стороны рук?
Смотрите также:
a href=»https://bigpicture.ru/pochemu-u-afrikancev-temnaja-kozha/»>Почему у африканцев тёмная кожа, если чёрный цвет притягивает тепло
Откуда в Меланезии взялись темнокожие люди со светлыми волосами
Как выглядят альбиносы разных национальностей и рас
А вы знали, что у нас есть Telegram?
Подписывайтесь, если вы ценитель красивых фото и интересных историй!
Как дамы 19 века ходили в туалет в своих кринолинах — рассказывает и показывает историк
Людмила из "Москвы слезам не верит" обхитрила всех: генерала, мужа-пьяницу и саму судьбу
Женщины, которые изменили историю
"Спасибо, кэп": 22 поясняющие надписи, атакующие здравый смысл
"Дегенеративный реализм" питерского художника Дмитрия Локтионова
"Зюзинская маньячка" Мария Петрова - как учительница стала серийной убийцей
Поймать момент: 22 удивительных кадра, сделанных в лучшее время
Серп вверх ногами и пропавший остров: что было не так с главным символом СССР
Сюрреалистичный мир российских подъездов
Бывшая санитарка психбольницы откровенно рассказала о том, что происходит в ее стенах